É causada pela perda de células profundas no cérebro que produzem um neurotransmissor chamado dopamina. A degeneração desses neurônios prejudica a transmissão de sinais dentro do cérebro, afetando a capacidade de uma pessoa de controlar seus músculos. Os sintomas podem incluir tremor, rigidez, lentidão e problemas para caminhar.
Mas muitas pessoas com doença de Parkinson também relatam sintomas não motores preocupantes. Isso inclui depressão, ansiedade, psicose, comprometimento cognitivo e dependência. Esses sintomas podem ser devidos à progressão da doença mais amplamente no cérebro ou podem ser efeitos colaterais do tratamento.
Em nossa pesquisa publicada recentemente, analisamos por que muitas pessoas com doença de Parkinson desenvolvem impulsividade (a tendência de agir de forma imprudente no calor do momento) e comportamentos viciantes, como jogos de azar ou vício em sexo.
Tratamento
Após o diagnóstico, a grande maioria das pessoas com doença de Parkinson tomará medicação. A dose geralmente aumenta com o tempo, à medida que os sintomas motores se tornam mais graves.
A base do tratamento é a medicação que restaura a dopamina empobrecida, denominada medicação dopaminérgica.
Cerca de uma em cada seis pessoas tratadas com este medicamento desenvolverá comportamentos impulsivos e viciantes. Esses comportamentos podem incluir jogos problemáticos, preocupação com sexo ou pornografia, compras compulsivas ou compulsão alimentar.
As pessoas que experimentam esse fenômeno geralmente descrevem “perdendo o controle” e sendo “orientadas” a se envolver nesses comportamentos contra seu melhor julgamento, e apesar dos danos interpessoais, financeiros e legais significativos.
Após um diagnóstico inicial da doença de Parkinson, enfrentar esses problemas pode ser um segundo golpe devastador para os pacientes e suas famílias.
Nossa pesquisa
Já sabemos há algum tempo sobre a associação entre dopamina e comportamentos viciantes. Além de facilitar o movimento em nossos corpos, a dopamina contribui para a experiência do prazer e desempenha um papel no aprendizado e na memória - dois elementos-chave na transição de gostar de algo para se tornar viciado nela.
Mas cientistas e clínicos não conseguiram dizer exatamente por que algumas pessoas desenvolvem comportamentos viciantes após tomar medicamentos dopaminérgicos, enquanto outras não. Isso limita nossa capacidade de fornecer uma abordagem personalizada aos nossos pacientes ao discutir esses tratamentos.
A hipótese de que a estrutura cerebral, que varia entre pessoas diferentes, foi um fator-chave para determinar se os comportamentos viciantes seguiriam ou não após as pessoas receberem medicação dopaminérgica.
A progressão da doença de Parkinson afeta a estrutura do cérebro de maneira diferente em pessoas diferentes, dependendo da disseminação da neurodegeneração no cérebro. Se pudéssemos capturar essa variabilidade, talvez pudéssemos vincular isso à impulsividade e ao vício.
Pegamos um grupo de 57 pessoas com doença de Parkinson em uso de medicamentos dopaminérgicos e focamos em duas redes cerebrais consideradas cruciais para a tomada de decisões: uma rede para escolher o melhor curso de ação e uma rede para interromper ações inapropriadas. Essas redes conectam regiões do cérebro dentro dos lobos frontais, uma área conhecida por apoiar características de ordem superior da personalidade, como o julgamento.
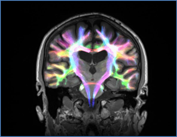
Utilizamos um método avançado de imagem cerebral, chamado IRM por difusão, que nos permitiu visualizar a estrutura das conexões entre as diferentes regiões cerebrais envolvidas nesses circuitos. Usando essa tecnologia, podemos quantificar se a força dessas conexões foi afetada pela doença de Parkinson.
![]() |
| Usamos imagens de difusão para estudar a atividade cerebral dos participantes. Autor fornecido |
Em contraste com os testes tradicionais em papel e caneta para avaliar impulsividade e dependência, sentimos que o cassino virtual simularia um ambiente mais próximo da vida real.
Em seguida, comparamos o comportamento no cassino virtual à conectividade das redes de escolha e parada, para verificar se havia uma associação.
Separados a esse teste, seguimos os participantes de nossa clínica de neuropsiquiatria para ver se eles desenvolveram comportamentos viciantes.
Um cassino virtual foi usado no estudo para testar estruturas de recompensa e risco no cérebro de pessoas com doença de Parkinson.
Na maior parte, quanto maior a força da rede de escolha e mais fraca a força da rede de parada, mais participantes eram impulsivos. Ou seja, eles tinham uma tendência maior a se comportar de forma imprudente no ambiente do cassino, fazendo apostas grandes, experimentando muitas máquinas de pôquer diferentes e fazendo apostas "duplas ou nada".
Os participantes viciados expressaram um comportamento impulsivo no cassino virtual, como teríamos previsto. No entanto, suas estruturas cerebrais sugeriram que eles seriam conservadores (ou seja, tinham uma rede de escolha mais fraca e uma rede de parada mais forte). Além disso, o tamanho da dose do medicamento dopaminérgico não pareceu influenciar o comportamento imprudente desses indivíduos.
Isso sugere que a neurodegeneração associada à doença de Parkinson provoca uma diferença na maneira como o cérebro funciona nessas pessoas com dependência.
O que esses resultados significam
Nosso método de combinar informações de imagens cerebrais e jogabilidade virtual nos permitiu distinguir essas pessoas, o que não era possível anteriormente e poderia ter implicações significativas para a prática clínica.
Quando começamos a entender os pontos comuns da estrutura cerebral entre as pessoas que tomam medicamentos dopaminérgicos que desenvolvem dependência, esperamos compartilhar essas informações para ajudar os pacientes e suas famílias a fazer a escolha mais informada sobre seu tratamento.
Prever aqueles em risco envolveria o uso rotineiro de imagens e análises por difusão na prática clínica. Embora isso gerasse custos extras com os cuidados de saúde, poderia reduzir os custos e os danos do vício.
Poderíamos então selecionar medicamentos específicos em detrimento de outros, ou até propor terapias avançadas, como a estimulação cerebral profunda, que trata os sintomas motores com eletricidade focada, em vez de medicamentos dopaminérgicos.
Enquanto isso, para as pessoas com doença de Parkinson que tomam medicamentos dopaminérgicos, é importante estabelecer uma rede de apoio de familiares e profissionais de saúde que possam detectar os sinais de alerta precoce de comportamentos viciantes na limitação dos danos a longo prazo do vício. Original em inglês, tradução Google, revisão Hugo. Fonte: The Conversation.

Nenhum comentário:
Postar um comentário
Publicidades não serão aceitas.